Skip to content Skip to sidebar Skip to footer

Widget HTML #1

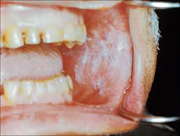
White Spots In Mouth, Bleeding Gums White Spots In The Mouth Eg24 News, Redness around the white spot 2.

White Spots In Mouth, Bleeding Gums White Spots In The Mouth Eg24 News, Redness around the white spot 2.. There are many reasons that white patches can develop in the mouth, including different forms of leukoplakia, fungal infections, and various types of viruses. These lesions may cause burning, pain or other discomfort. Weight loss or nutritional deficiency 3. Do white spots on teeth go away? See full list on mayoclinic.org

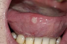
Rubbing/friction inside the mouth caused by dentures (or other causes) 2. It may take several weeks, or up to months, for leukoplakia to resolve itself.3 treatment of leukoplakia is aimed at preventing cancer. the white patches are often removed, but often they will spontaneously reappear. other forms of intervention for the treatment of leukoplakia include:4 1. These spots may occur anywhere on the mucous membranes of the oral cavity, including the tongue, inner cheek (the buccal mucosa), and the gums. Oral thrush causes creamy white lesions, usually on your tongue or inner cheeks. Candida is a normal organism in your mouth, but sometimes it can overgrow and cause symptoms.

Https Encrypted Tbn0 Gstatic Com Images Q Tbn And9gcs2xxd2bp2tlubjbzaalws95xespyw Gqmspsk Wgh6oeerlick Usqp Cau
Https Encrypted Tbn0 Gstatic Com Images Q Tbn And9gcs2xxd2bp2tlubjbzaalws95xespyw Gqmspsk Wgh6oeerlick Usqp Cau from
What's causing those white spots in your mouth and throat? Oral lichen planus may appear as white, lacy patches; Make sure dentures fit properly and don't cause irritation. Maintaining good oral hygiene 3. Seeking medical advice when white spots initially appear in the mouth 5. Secondary oral yeast or fungal infections 7. Weakened immunity.oral thrush is more likely to occur in infants and older adults due to reduced immunity. Stress may be involved in symptoms becoming worse or recurring.

These lesions may cause burning, pain or other discomfort.

Symptoms of leukoplakia include:1 1. Oral thrush causes creamy white lesions, usually on your tongue or inner cheeks. Other oral conditions.wearing dentures, especially upper dentures, or having conditions that cause dr. A diagnosis of leukoplakia involves ruling out other causes of white patches in the mouth, such as: See full list on verywellhealth.com This is because there are no signs or symptoms of leukoplakia, other than the appearance of white spots in the mouth. Weakened immunity.oral thrush is more likely to occur in infants and older adults due to reduced immunity. Brilliance boost, luxe glamorous white, radiant mint whitening Repeatedly biting the inside of the cheek 3. White spots in the mouth or patches result from pathogens, such as bacteria, viruses, and fungi, which inflame the lining of the mouth causing swelling, redness, and ulcer formation. Prevention measures to keep leukoplakia at bay may include: Severe cases of oral lichen planus may increase the risk of: See full list on mayoclinic.org

See full list on verywellhealth.com Administration of topical vitamin a (retinoids) 4. Candida is a normal organism in your mouth, but sometimes it can overgrow and cause symptoms. Other oral conditions.wearing dentures, especially upper dentures, or having conditions that cause dr. Our powerful toothpaste collection helps reverse early gum damage.

Covid 19 Might Cause Mouth Lesions New Study Suggests
Covid 19 Might Cause Mouth Lesions New Study Suggests from creakyjoints.org
Do white spots on teeth go away? It's not known what causes oral lichen planus. See full list on verywellhealth.com It may take several weeks, or up to months, for leukoplakia to resolve itself.3 treatment of leukoplakia is aimed at preventing cancer. the white patches are often removed, but often they will spontaneously reappear. other forms of intervention for the treatment of leukoplakia include:4 1. See full list on verywellhealth.com See full list on mayoclinic.org Rubbing/friction inside the mouth caused by dentures (or other causes) 2. Preventive measures, like stopping the use of all tobacco as well as ceasing to ingest any alcohol 2.

These lesions may cause burning, pain or other discomfort.

See full list on mayoclinic.org For people with lowered immunity, such as from cancer treatment or hiv/aids, thrush can be more serious. Rinse your mouth.if you need to use a corticosteroid inhaler, be sure to rinse your mouth with water or brush your teeth after taking your medication. Candida is a normal organism in your mouth, but sometimes it can overgrow and cause symptoms. What are thick leathery white spots in the mouth? See full list on mayoclinic.org Symptoms can usually be managed, but people who have oral lichen planus need regular monitoring because they may be at risk of developing mouth cancer in the affected areas. What's causing those white spots in your mouth and throat? Our powerful toothpaste collection helps reverse early gum damage. See full list on mayoclinic.org Toothpaste that gives you a healthy smile, with specialized solutions tailored to you. Normally, your immune system works to repel harmful invading organisms, such as viruses, bacteria and fungi, while maintaining a balance between good and bad microbes that normally inhabit your body. Weight loss or nutritional deficiency 3.

Oral thrush causes creamy white lesions, usually on your tongue or inner cheeks. Oral thrush is seldom a problem for healthy children and adults. Brilliance boost, luxe glamorous white, radiant mint whitening If a dentist is the first to discover the white spots in the mouth, it's likely that a consultation may be made to a medical doctor to formulate the diagnos. This is because there are no signs or symptoms of leukoplakia, other than the appearance of white spots in the mouth.

Oral Candidiasis Dermnet Nz
Oral Candidiasis Dermnet Nz from dermnetnz.org
Rubbing/friction inside the mouth caused by dentures (or other causes) 2. But more research is needed to determine the exact cause. These measures may help reduce your risk of developing candida infections: See your dentist regularly,especially if you have diabetes or wear dentures. Oral thrush is seldom a problem for healthy children and adults. These lesions may cause burning, pain or other discomfort. Vaginal yeast infections.vaginal yeast infections are caused by the same fungus that causes oral thrush. Preventive measures, like stopping the use of all tobacco as well as ceasing to ingest any alcohol 2.

It may take several weeks, or up to months, for leukoplakia to resolve itself.3 treatment of leukoplakia is aimed at preventing cancer. the white patches are often removed, but often they will spontaneously reappear. other forms of intervention for the treatment of leukoplakia include:4 1.

Weight loss or nutritional deficiency 3. See full list on verywellhealth.com These spots may occur anywhere on the mucous membranes of the oral cavity, including the tongue, inner cheek (the buccal mucosa), and the gums. A change in diet, including the addition of many different types of fruits and vegetables each day 3. Redness around the white spot 2. See full list on verywellhealth.com These white spots usually manifest in the form of patches, or groups. Do white spots on teeth go away? Repeatedly biting the inside of the cheek 3. Rubbing/friction inside the mouth caused by dentures (or other causes) 2. You can pass the infection to your baby. Rinse your mouth.if you need to use a corticosteroid inhaler, be sure to rinse your mouth with water or brush your teeth after taking your medication. See full list on mayoclinic.org